TPA
FOR THE LOVE OF POCUS
One minute image review-80.png

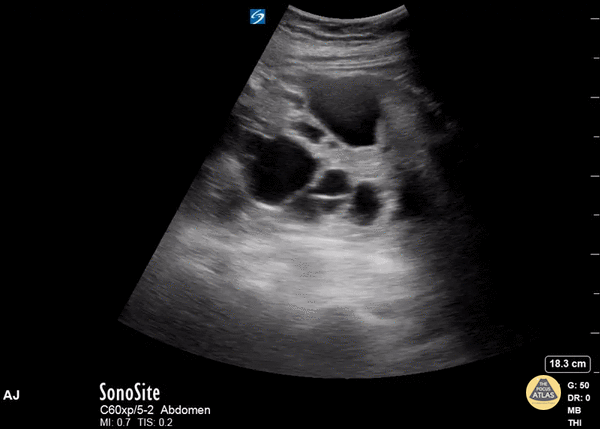
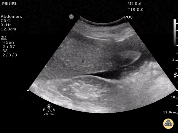
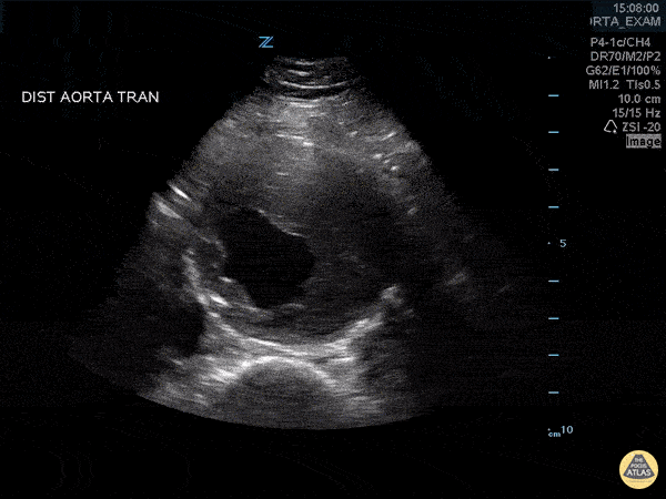
One Minute Image Review

One-Minute Image Review: High yield bite sized learning! Voice annotation of both normal and abnormal point of care ultrasound clips!